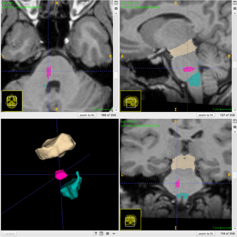
current work Neural basis of Behaviour Change in Sustainable Decision-making fMRI, Econometric, Neuroeconomics Semi-automated Anatomical Segmentation and Voxel-based Morphometry of Cranial Nerve Brainstem Nuclei from T1-w MR Images sMRI, brainstem, segmentations Neural correlates of Visual / Auditory Statistical Learning and Reading Processes fMRI, Learning, Reading previous work Increased Attention and Effect of Comprehension Check on Confirmation Bias with Belief-confirming Evidence attention, confirmation bias, belief Anxiety reduces Dishonesty in Low Trait Anxious Individuals: EEG Study P300 ERP, Broken Promise Trust Game